Our writers share what got them excited about neuroscience in 2025.
Going viral: How scientists use viruses in research every day
Viruses are experts at getting new DNA into cells. Every day, neuroscientists take advantage of this ability to help us understand the brain.
Basic science, exceptional outcomes: A look at how non-clinical research is an important investment into human health
Basic research, intended to better our understanding of the world rather than directly investigate diseases, has laid the groundwork for some of the most important developments in modern medicine. Here, we dive into two examples of how basic research findings have revolutionized our treatment approaches for genetic diseases and neurological diagnoses.
Neuroscientists are building Google Maps for the fly brain
What if we had Google Maps for the brain? Scientists recently charted every connection in a fruit fly’s brain. Six months later, the discoveries are just getting started!
2024 Neuroscience Year in Review
Our writers share what got them excited about neuroscience in 2024.
Of mice and men (and brains)
What can and can’t we learn about the human brain by studying rodent brains?
2023 Neuroscience Year in Review
Our writers share what got them excited about neuroscience in 2023.
The curious tale of epigenetics: How do genes change during our lives?
Genes may not be the only thing parents are passing down to you.
From Paleolithic to Petri dish
What growing ‘mini brains’ of our ancestors can tell us about ourselves
When did you become you?
We all have something about us that makes us unique. Find out how scientists are using fish to uncover when in life this individuality emerges.
2022 Neuroscience Year in Review
Read about what excited our writers about neuroscience this year.
What we can learn from the fly on the wall
They might be small, but fruit fly research has led to wide-reaching discoveries in science and six Nobel Prizes!
The neuroscience of worms
Why do some neuroscientists study worms and what can they tell us about how a human brain works?
Clownfish brains change during sex transition
Current research is trying to understand how the brain changes when male clownfish transition into females.
Memory Suppression Genes – Team Forgetful
Part of the answer to “why can’t I remember where I put it ?!?!”
Alzheimer’s disease: What’s causing some of our neurons to die?
A recent study suggests that an Alzheimer’s disease-related protein could explain why specific neurons die first.
Can a high sugar diet change how you taste?
A recent study found that consumption of a high sugar diet had lasting effects on sweet taste perception.
Can intermittent fasting change how we age?
By engaging a cell-breakdown process called autophagy, fasting can clear more than the belly.
A Bug’s Life
How do ants know their roles in a colony?
Feeling Frosty
Some people are sad that winter is here, but others have S.A.D.- Seasonal Affective Disorder
I Got It From My Mama: Maternal Microbes Support Brain Development of Her Offspring
New research in mice shows how gut microbes affect the brain, even before birth.
Where There’s Smoke
New evidence for epigenetic changes in the brains of cigarette smokers
Stressed Out
Stress early in life can change how the brain reacts to more stress later
Transforming cells to repair the brain
By introducing a single protein, gene therapy can help repair the brain after injury
The protein that makes you feel pain
Different conditions uncover how one protein is important in controlling pain
The genetics behind short sleepers
A newly discovered genetic mutation might explain why some people need only 4-6 hours of sleep each night.
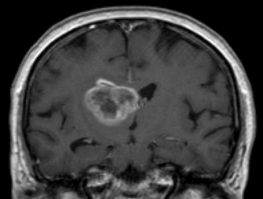
Defining Glioblastoma
New research points to why this deadly cancer is so hard to treat
Your (Baby’s) Brain on Hurricanes
How natural disasters are helping scientists forecast the effects of stress during pregnancy
Sensory Overload
Can the way we touch affect the way we feel?
Genetic Disposition
Is heredity your destiny?